Materials Used in Spacecraft Can Now Improve Quality of Life for Spinal Cancer Patients
Rob Vanacek can stand upright once again.
That may not seem like a major accomplishment to most, but when his rectal cancer metastasized to his bones and eventually his vertebrae and spine, the pain it caused made standing – even moving – extremely painful.
Fortunately, thanks to some new technology using materials made of carbon fiber, surgeons from the neuro-oncology program at Moffitt Cancer Center were able to help ease his pain and enable more movement while not impeding his ongoing treatment.

Rob Vanacek undergoes an infusion treatment at Moffitt.
“Before this last surgery it hurt to take a deep breath and getting up from a seated position got harder and harder,” said Vanacek. “The pain was quick and it got worse every day I felt like a clock was ticking.”
Moffitt neuro-oncology surgeon Dr. Nam Tran told Vanacek about a new material that would help shore up his spine after the tumor was removed.
“Tumors metastasizing to the spine can weaken it,” Tran said. “Treatments for the spine tumors like surgery and radiation can further weaken the spine. We typically use titanium screws and rods to stabilize the spine. Screws made of carbon fiber, the same material used in military jets and spacecraft, provide even more strength.”
The strength of that material is particularly important in Vanacek’s case, whose spine is subject to more daily stresses following the amputation of his left arm in 2019.
Vanacek, 50, said he knew the procedure would improve his quality of life, so he was quick to agree to the surgery.
“I knew this will help prolong my life,” the former combat medic said. “I would have been paralyzed if we hadn’t done this procedure. I wouldn’t have even been able to breathe on my own because of the pain.”
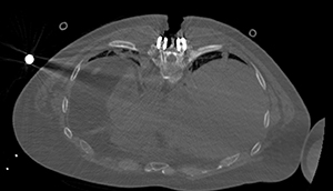
The new carbon fiber material placed in Vanacek’s back allows radiation to more effectively reach the cancer. Traditional materials are less translucent and can scatter radiation beams or shield the tumor from the radiation, thus providing a lesser dose of the needed radiation to kill the tumor.
Vanacek understands that his most recent surgery is only part of his ongoing cancer journey, which began in 2017 after he noticed some blood in his stool. Since he had just seen his dad suffer and die from the same cancer just three years before, he was all too aware of the symptoms.
“My father and my grandfather were claimed by rectal cancer,” he said. “Dad was diagnosed in April and gone in October. I knew I needed to act quickly.”

Rob Vanacek served as a combat medic in the United States Navy for 20 years.
Vanacek immediately sought medical attention and underwent surgery at a hospital in Georgia, where he lived with his wife. He thought he had beaten the cancer, but in 2019 he had an elbow injury that wouldn’t heal.
“I thought it was rheumatoid arthritis,” he said. “My elbow was fractured and surgeons (in Georgia) kept repairing it and I thought it was infected. But the cancer had metastasized. I flew to Tampa to go to Moffitt and in March 2019 my arm was amputated at the elbow.”
Soon after, Vanacek’s wife quit her teaching job of 21 years and moved with him to Tampa to be closer to his family and Moffitt. Now, Vanacek says his wife and his mother are his caretakers.
“My family has been very supportive and I’m fortunate to have that support network,” Vanacek said. “Without them, I don’t think I’d be doing as well as I’m doing. I want to spend as much time with them as possible as comfortably as I can.”

Rob Vanacek with his mother and his wife, who he says are his biggest supporters.
According to Tran, the carbon fiber materials placed in Vanacek’s back will not only improve his quality of life but continue to benefit his treatment and help us better monitor any recurrence or changes in his condition.

The carbon fiber material placed in Rob's back illuminate during a recent CT scan.
“This material gives us a better way to visualize the tumor,” Tran said. “If you can detect the tumor or changes in the tumor earlier, called a recurrence, you are able to treat it earlier.”
The carbon fiber materials also allow radiation to penetrate the cancer without scattering or reflecting off the material and impacting healthy tissue.
“This is new technology and we’ve only just started using this at Moffitt,” Tran said.
Currently the material is only Food and Drug Administration approved for oncology, but Tran said he wouldn’t be surprised if it is used in orthopedics in the near future.