Endoscopic Surgery Allows Doctors to Remove Certain Tumors Through the Nasal Cavity
Pedro González Escolá recalls waking up in the intensive care unit with a bandage under his nose and his wife at his side. He knew he had come through his surgery, but he was surprised when a physical therapist entered his room and encouraged him to stand.
“I wondered if they knew that I had just had brain surgery 11 hours earlier,” González Escolá said. “I was surprised they wanted me to try to stand so soon!”

Pedro González Escolá the day after his surgery.
González Escolá, 40, said he not only stood next to his bed for a few minutes, but he also took a few steps, which showed that he was already on the road to recovery after a skull base tumor located near his pituitary gland had been extracted through his nasal cavity at Moffitt Cancer Center the night before.
What is a skull base tumor?
Skull base tumors, as the name implies, are typically found at the base of the skull or near the top of the spine. They can often form in the frontal sinus cavity near the sphenoid or pituitary gland. Historically, these tumors would require an open craniotomy, where doctors physically opened the skull above or behind the ear to reach the tumor area.
Fortunately for González Escolá, surgical technique and technology have evolved, and a new field of advanced skull base endoscopic surgery is now available which allows surgeons to extract a tumor through the nasal passage.
Moffitt physicians Dr. Andre Beer Furlan, a neurosurgeon with the Neuro Oncology Program, and Dr. Krupal Patel, assistant member in the Department of Head and Neck–Endocrine Oncology, specialize in these type of procedures. Both agree that while there are risks associated with an endoscopic surgery, those risks are not as great as traditional surgery, which require more healing time because of the trauma caused by simply reaching the tumor.
“Skull base tumors are not formed in the brain itself,” Beer Furlan said. “But all functions of the body can be impaired by these tumors since they press against vital nerves and arteries that control our motor functions and senses.”
In González Escolá’s case, the tumor was pressing against a nerve connected to his vision and eye movement. Because of its location, removing it took the combined skills of both Patel and Beer Furlan, who often collaborate on procedures within the skull.
“This type of procedure involves experts in two different fields with different skillsets,” Patel said. “One of the benefits of Moffitt is we work as part of a multidisciplinary team.”

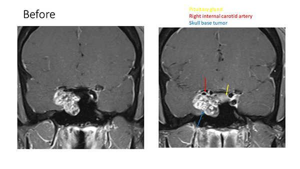
In this scan taken before surgery, doctors could identify the tumor in Pedro's head.

This MRI scan after Pedro's surgery shows the reconstructed nasal septal flap and relieved pressure on the carotid artery.
Patel added that he and Beer Furlan assessed the patient together and agreed that the best way to remove González Escolá’s tumor was with endoscopic surgery that required Patel’s ability to open the nasal cavity to give Beer Furlan the access he needed to remove the tumor.
Resecting the tumor can take anywhere from six to 12 hours of surgery and doctors physically remove the cancer through a patient’s nasal cavity. After its removal, Patel reconstructed González Escolá’s nasal cavity using a nasoseptal flap.
“Skull base tumors are rare, and a majority tend to have benign behaviors,” Beer Furlan said. “But they can cause problems and recovery is much easier with this new method. But it is important to understand that not all tumors in the skull or brain are removed this way. Each type of tumor has its own treatments and it’s important to discuss those with your doctor.”
A blood test raised concerns
Most patients don’t learn they have a skull base tumor until it begins impacting a motor function or their ability to see or speak. Fortunately for González Escolá, doctors discovered his tumor before he showed any symptoms.
Just a few months before his surgery, González Escolá was living and working in his native Puerto Rico and he said he was feeling healthy.
“I went in for a checkup and he did blood tests,” he said. “They found a high number connected with my hormone level, so he sent me to get an MRI.”

Pedro González Escolá shortly before his endoscopic skull base surgery in January.
That MRI revealed he had a growth on or near his brain. Even though he was not showing any physical symptoms related to the tumor, his doctor suggested he seek out an oncologist’s help.
“That MRI was done in September 2021 and I was at Moffitt on Jan. 10 for a follow up,” González Escolá said. “On Jan. 11 they told me I had a malignant tumor and suggested I have surgery as soon as possible.”
Moffitt doctors told González Escolá that the two possible tumors with those imaging features were chordoma or chondrosarcoma, both considered slow growing cancers of tissue found at the base of the skull near his pituitary gland.
González Escolá said he and his wife, Yolanda, discussed his options in depth with Beer Furlan and Patel. Despite the risks, he agreed to the surgery.

Pedro González Escolá and his wife, Yolanda
“These two doctors explained everything so well and were so caring,” González Escolá said. “They explained the procedure and how they would remove the tumor through my nose and avoid having to open up my skull. They were straight forward and so respectful.”
González Escolá was admitted into Moffitt on Jan. 21 and told his doctors he had double vision, which they determined was directly connected to the tumor growing in his skull. He had his surgery on Jan. 28. It lasted several hours.
“Pedro’s surgery took so long because the tumor was so calcified,” said Beer Furlan. “Because the tumor was in a cavernous sinus area, when you manipulate that you get a lot of bleeding. It was also very close to nerves and the carotid artery, so it’s a very delicate area.”
Beer Furlan and Patel both worked on Pedro and used drills to release a block of bone connected to the tumor and extract both the hard and soft tissue through his nasal cavity.
“In a case like this we work through both nostrils, the right and left side,” Beer Furlan said. “Dr. Patel opens the sinuses and makes one larger cavity in the back of the nose. We use a four-hand technique to remove the tumor and to control the bleeding as we extract the cancer.”
Following the removal of the tumor, Patel works to reconstruct the nasal cavity so the patient can begin to heal.
“The nose acts as a natural corridor to these very complex areas and the technology of endoscopes allow us to operate in the space and visualize these critical structures that would not otherwise be available,” Patel said. “Recovery time is also improved and there are no external scars.”
As with most cancers, skull base tumors fall on a scale. A grade 1 chondrosarcoma, which González Escolá had, is a best-case scenario according to Beer Furlan.
“In this case we do a complete resection and then follow the patient with imaging for the rest of his life,” Beer Furlan said. “We don’t fully understand these tumors and we want to make sure that we continue monitoring to ensure the cancer doesn’t reappear.”
In González Escolá’s case, he will be monitored every three months, then every six months and eventually, just once a year.
Taking time to heal
Since his surgery, González Escolá has returned to Puerto Rico and is back at work in medical coding and auditing and is back in law school. He said he had some minor vertigo after the surgery and just a little pain.
“I didn’t have any headache, which I think is just amazing,” he said. “I can’t smell but even if that sense doesn’t come back, I’m thankful that I can live a normal life.”
Patel said some patients regain their sense of smell in a matter of months but stressed that each outcome is different.
Moving forward, González Escolá’s normal life will include continuous monitoring and several trips back to Moffitt throughout the year to ensure he is still healthy. Fortunately, González Escolá has the support of his wife and family and hopes that his experience can help others.
According to Beer Furlan, the tumor he and Patel extracted from González Escolá is now part of a database that will help doctors understand their pathology.
“We are building a patient database of tumors and combining those with other centers of excellence around the nation to look at outcomes and impacts to patient survivorship, quality of life, etc.,” Beer Furlan said. “There is so much more to this than just the surgery. These tissues help us understand why some tumors have benign behaviors and others take a different course. That tumor biology will help us learn and have a positive impact on many other patients.”

Less than 12 hours after surgery, Moffitt physical therapists had Pedro González Escolá on his feet.
Knowing his experience can help others gives González Escolá a sense of hope and of peace. But even as a cancer survivor, he said it can be hard to know what to say when someone you know is facing their own cancer diagnosis.
“Only the one suffering knows what it’s like in their individual situation,” he said. “But treatment is so important, and you have to focus on the positive. Chemotherapy and treatments are so much more advanced than they used to be and there are more tools to survive now than before. You have to keep the hope. Hope, along with the support of my wife and my amazing doctors, is what saved me.”