Pituitary Adenoma Diagnosis and Treatment in Florida

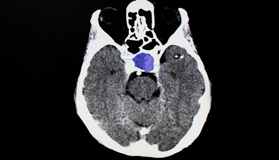
Pituitary adenoma is a benign (noncancerous) tumor that develops in the pituitary gland. This gland sits behind the eye and plays a key role in regulating hormones to help keep the body in balance.
Choosing a Pituitary Adenoma Specialist in Florida
Pituitary adenomas can be classified as nonfunctioning or functioning. A nonfunctioning adenoma does not produce hormones and a functioning adenoma does. Treatment for pituitary adenoma varies based on if it’s nonfunctioning or functioning as well as the patient’s health history.
Experience & Expertise
When it comes to pituitary adenoma treatment, the opinions of multiple experts are better than one. Moffitt Cancer Center’s Endocrine Program consists of a team of experts who collaborate to evaluate and treat patients with all types of pituitary adenomas using the latest advancements in medicine. Our highly specialized team includes:
- Endocrinologists
- Head and neck surgeons
- Medical oncologists
- Radiation oncologists
- Pathologists
- Supportive care specialists
Latest Treatment Options
Moffitt is a national leader in cancer care, but we also excel in treatment for complex noncancerous conditions like pituitary adenomas. Our team has ample experience with both functioning and nonfunctioning pituitary adenomas and will develop a treatment plan best suited for the patient and their type of adenoma. This can include:
- Surgery to remove the adenoma
- Radiation therapy to destroy tumor cells
- Medication to control symptoms
Why Pituitary Adenoma Patients Choose Moffitt
In addition to our experience, expertise and various treatment options, Florida residents who are looking for a pituitary adenoma specialist are encouraged to come to Moffitt because we take a patient and family-center approach to cancer care.
Patient and Family-Centered Care
We recognize the value of empowering our patients, their caregivers and families to be part of their healthcare experience and treatment decisions. We also offer programs and services for patients and caregivers including support groups, language translation, comprehensive nutrition support and more.
Virtual Visits
The specialists at Moffitt are available for a variety of virtually scheduled visits, including regular follow-up, triage visits, pre-visit information sessions, medication review and more through Virtual Visits. This allows patients to see a healthcare provider from the convenience of their home or office.
Multiple Locations
We have multiple locations across the Tampa Bay area and established partnerships with Memorial Healthcare System and AdventHealth. Pituitary adenoma patients traveling from or to Florida for treatment can also take advantage of our partner hotels that offer discounts and other amenities such as shuttle service.
We are providing every new patient rapid access to a cancer expert within a day, which is faster than any other cancer hospital in the nation. You can also schedule an appointment by calling 1-888-663-3488 or submitting a new patient registration form.
Pituitary Adenoma
- Acute Lymphocytic Leukemia (ALL)
- Acute Myeloid Leukemia (AML)
- Acute Promyelocytic Leukemia (APL)
- Adenocarcinoma
- Adrenal Cancer
- Anal Cancer
- Appendiceal (Appendix) Cancer
- Astrocytoma
- Basal Cell Carcinoma
- Bladder Cancer
- Bone Metastasis
- Brain Cancer
- Brain Tumor
- Brain Metastases
- Breast Cancer
- Cervical Cancer
- Cholangiocarcinoma (Bile Duct Cancer)
- Chronic Lymphocytic Leukemia (CLL)
- Colon Cancer
- Colorectal Cancer
- Chronic Myeloid Leukemia (CML)
- Cutaneous Lymphoma (CTCL)
- Diffuse Large B-Cell Lymphoma
- Ductal Carcinoma In Situ
- Endometrial (Uterine) Cancer
- Esophageal Cancer
- Follicular Lymphoma
- Gallbladder Cancer
- Gastrointestinal Carcinoid Tumor
- GIST (Gastrointestinal Stromal Tumor)
- Glioblastoma
- Head and Neck Cancer
- HER2 Positive Breast Cancer
- Hodgkin Lymphoma
- Inflammatory Breast Cancer
- Invasive Ductal Carcinoma
- Kidney (Renal Cell) Cancer
- Leukemia
- Liver (Hepatocellular) Cancer
- Low-Grade Glioma
-
Lung Cancer
- Signs and Symptoms
- Diagnosis
- Treatment
- Clinical Trials
- FAQs
- Lung Cancer Early Detection Center
- Lung Cancer Screening and Surveillance Program
- Lung Nodules
- Lung Surveillance Clinic
- Metastatic Lung Cancer
- Recurrence
- Survival Rate
- Your Lung Cancer Specialists
- Lung and Thoracic Tumor Education (LATTE)
- Thoracic Clinic Updates
- Insurance & Financial Information
- Lymphomas (Hodgkin and Non-Hodgkin)
- Mantle Cell Lymphoma
- Melanoma
- Meningioma
- Merkel Cell Carcinoma
- Mesothelioma
- Metastatic Breast Cancer
- Monoclonal Gammopathy of Undetermined Significance (MGUS)
- Multiple Myeloma-Plasma Cell Tumor
- Myelodysplastic Syndromes (MDS)
- Neuroendocrine Tumor
- Neurofibromatosis
- Non-Hodgkin Lymphoma
- Non-Small Cell Lung Cancer
- Oral Cavity (Mouth) Cancer
- Insurance and Financial Information
- Oral Cavity or Throat Cancer
- Osteosarcoma
- Ovarian Cancer
- Pancoast Tumor
- Pancreatic Cancer
- Penile Cancer
- Pituitary Adenoma
- Prostate Cancer
- Rectal Cancer
- Sarcoma
- Skin Cancer (Nonmelanoma)
- Skull Base Tumors
- Small Intestine Cancer
- Spinal Tumor
- Squamous Cell Carcinoma
- Small Cell Lung Cancer
- Smoldering Multiple Myeloma
- Stomach (Gastric) Cancer
- Testicular Cancer
- Throat Cancer
- Thymoma
- Thyroid Cancer
- Tongue Cancer
- Tracheal Cancer
- Triple Negative Breast Cancer
- Vaginal Cancer
- Vulvar Cancer